The jade pearls

The jade pearls Akita americain

Akita americain

Telechargements

Télécharger Certificat de conformité de Opale (Orie)

Certificat de conformité de Opale (Orie)

Certificat de conformité de Opale (Orie)

Télécharger Radio de la Dysplasie

Radio de la Dysplasie

Résultat de la Dysplasie de Lazzaro (B)

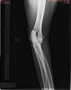
Télécharger Radio du coude de Lazzaro

Radio du coude de Lazzaro

Radio du coude de Lazzaro résultat parfait (0)

Télécharger Radiographie de Jade

Radiographie de Jade

Radio de jade pour le test HD

Télécharger Test Long Poil de Lazzaro

Test Long Poil de Lazzaro

Lazzaro est non porteur du gène du long poil

Télécharger Radio de Dysplasie de Opale (orie)

Radio de Dysplasie de Opale (orie)

Radio de Opale... test HD Résultat parfait (A)

Télécharger TAN de Lazzaro

TAN de Lazzaro

Lazzaro a brillamment réussi ces examens de sociabilité

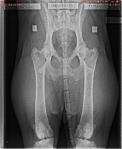
Télécharger Radio Dysplasie de Jade

Radio Dysplasie de Jade

Résultat des Radios de Jade (A)

Télécharger Radio Dysplasie et des coudes de Lazzaro The Only One

Radio Dysplasie et des coudes de Lazzaro The Only One

Test de Dysplasie Pour Lazzaro (B) Tests des coudes pout Lazzaro (0)